热闻|男子中招“甲流”、肺部发霉!它毒性是砒霜的68倍,一定要注意防护
热闻区 2025-03-10 4748
最近是呼吸道传染病高发期
大家身边有不少人
都中招“甲流”了
无论是刚感染还是刚痊愈
都要格外注意!
流感还能引起肺“发霉”?

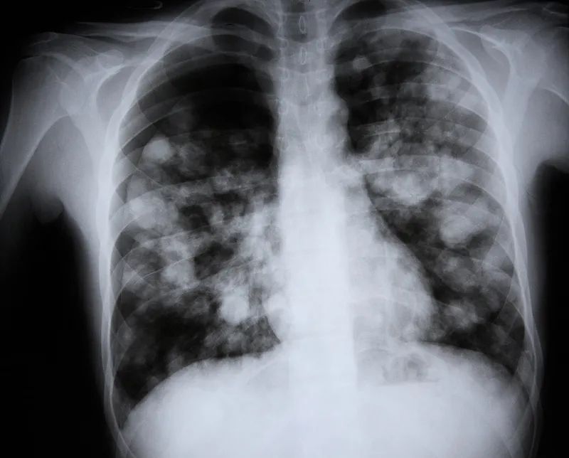
前段时间,今年52岁的朱先生因“胸闷气促7天”到医院就诊,诊断为甲流。
可经过一番治疗后,病情却不见好转,反而进一步加重,患者被紧急转至上海交通大学医学院附属瑞金医院嘉定院区急诊就诊。
入院时,朱先生的病情非常危重,持续高热、急性呼吸衰竭、电解质紊乱、休克等,在抢救室紧急气管插管后,急诊科陆一鸣主任当机立断将患者紧急收入急诊重症监护室接受进一步治疗。
病人体重近300斤,当时血压在大剂量升压药物维持下也只有60/40mmHg,心跳高达150次/分,全身花斑,四肢湿冷,血糖22mmol/l,血气分析pH:6.9,提示严重酸中毒(正常值7.35~7.45),休克。
针对如此危重病情,主治医生迅速抓住当前主要关键点:糖尿病酮症酸中毒,感染性休克,甲型流感病毒性肺炎等,并启动目标导向性液体复苏,控制血糖,连续性血液肾脏替代治疗(CRRT),调节酸碱平衡等综合治疗。同时进行脉搏指示连续心输出量监测(PICCO)和床旁心脏超声,监测心功能及指导液体复苏。

经过急诊重症监护室医护团队初步治疗,朱先生的酮症酸中毒、感染性休克有好转迹象,但患者病情仍然不容乐观:如何控制重症肺炎和急性呼吸衰竭等成为主要矛盾。
陆主任在仔细分析病情和影像学检查后,高度怀疑朱先生可能合并侵袭性肺曲霉病感染,立即安排行床旁纤维支气管镜检查及肺泡灌洗液查病原体,终于揪出“真凶”——流感相关性肺曲霉病(IAPA),随后立刻针对该患者调整治疗方案,启动抗霉菌治疗。
在急诊重症监护室经过近1个月的治疗后,朱先生病情逐渐稳定下来,并康复出院。
肺也会发霉吗?
答案是——
会!而且这种发霉长毛
对肺部组织的破坏力极大
短期内可将肺部掏空
治疗起来尤为困难
什么是流感合并肺曲霉病?
曲霉菌是一种真菌,它被世界卫生组织列为一等致癌物质,其毒性是砒霜的68倍。它广泛存在于自然环境中的真菌,土壤、空气、腐烂的植被中都能找到它的身影。曲霉菌比较常见的可分为三种:烟曲霉菌、黑曲霉菌、黄曲霉菌,曲霉菌在临床上引起的感染称之为曲霉病。正常情况下,我们的免疫系统可以抵御曲霉菌的侵袭。
然而,当人体免疫力低下时,例如流感病毒感染后,曲霉菌就可能“趁虚而入”,破坏呼吸道纤毛细胞、侵袭肺部并迅速扩散,导致各种临床症状,对于健康有很大的危害甚至危及生命。
为什么流感患者容易合并曲霉菌感染?
1. 流感病毒损伤呼吸道黏膜,为曲霉菌的入侵创造了条件。
2. 流感导致免疫力下降,削弱了机体对曲霉菌的抵抗力。3. 部分流感患者使用糖皮质激素,也可能增加曲霉菌感染的风险。4.合并基础疾病的患者,包括免疫抑制状态以及慢性呼吸系统疾病、慢性肝肾疾病、糖尿病、实体肿瘤、血液系统肿瘤等基础疾病。
有哪些症状?
流感合并曲霉菌感染的症状与普通流感相似,容易造成误诊漏诊。但如果出现以下情况,需高度警惕:
1.持续高热不退,常规退烧药效果不佳。2.咳嗽加重,出现胸痛、呼吸困难等症状。3.咳出带血丝或棕褐色的痰液。4.出现鼻塞、流脓涕、面部疼痛等鼻窦炎症状。
如何预防流感合并曲霉菌感染?
1. 积极预防流感:接种流感疫苗,勤洗手,戴口罩,避免去人群密集场所。
2. 增强免疫力:保持充足睡眠,均衡饮食,适量运动。3. 保持环境清洁干燥:定期开窗通风,避免接触发霉变质的物品。4. 合理使用药物:避免滥用抗生素和糖皮质激素。
流感季当心“雪上加霜”
大家一定要注意防护
警惕流感合并曲霉菌感染
↓↓↓
新闻多一点
注意家中这些地方可能“有毒”
#杭州姑娘清理发霉衣柜肺部长霉菌#话题在去年冲上社交平台热搜第一,引发网友广泛关注。
据报道,杭州一“00后”姑娘清理发霉衣柜时没做好防护,吸入了不少扬起的杂质、灰尘,出现咳嗽、乏力、发热等症状,体温最高到了40度,到医院检查后被诊断为霉菌性肺炎。

为了进一步确诊病情,医生为她做了纤维支气管镜检查,发现气道壁上缀着大量白色菌斑,化验后确认是曲霉菌。
据网友评论,在此之前已有多人因清理旧物未做防护,导致肺部感染。



霉菌是如何长进肺里的?
如果吸入了大量霉菌而引起“肺部真菌感染”,就可能出现胸背疼痛、反复咳嗽等症状。
常见的霉菌:
链格孢、枝孢:在空气中最常见,可引起过敏、过敏性鼻炎,甚至哮喘;
青霉:在发霉的食物上常见,可以引起呼吸道过敏;
黄曲霉:在发霉的粮食中常见,例如粮食里的黄色的米粒、有哈喇味发苦的花生米当中都含黄曲霉,可引起肝癌;
烟曲霉:可引起过敏、感染、真菌性肺炎。
在人体免疫系统受到攻击或者免疫力较弱的情况下,霉菌就可能进入肺部,引起霉菌性肺炎。
霉菌进入人体还有可能引发口腔、皮肤、泌尿系统、胃肠道等感染,甚至引发全身感染。有过敏体质的人群,将霉菌吸入体内后可引发过敏反应。
霉菌最喜欢藏在哪儿?
霉菌感染和环境有一定关系,通风不良、潮湿的房间里,很容易滋生霉菌。

尤其是墙角、窗台、浴室、厨房水池灶台、厨具、餐具、调料、冰箱内部和密封条、洗衣机内部、空调、长时间不用的书籍和地毯等地方,都容易滋生霉菌。
↓↓↓
教你几招
如何做好自身防护?
做好居家清洁工作
定期晾晒被褥,勤打扫,及时清理发霉物品。可以用消毒水,如3%的过氧化氢、苏打水,或1:1调配的水和白醋进行清洁,也可以对书籍、地毯等进行阳光晾晒。

切记打扫卫生时戴好口罩和手套,以免误吸!
室内注意通风
家中或办公室要注意通风,尤其在梅雨季节。在潮湿重灾区可以挂一袋吸湿盒或除湿包,也可以使用除湿机或空调,使室内湿度保持在40%~50%之间。

室内绿植的土壤中容易滋生霉菌,注意及时清除。
不要囤积过多的食物
一旦发现食物发霉要及时扔掉,尽量少吃隔夜的食物。

提高自身的免疫力
多参加体育锻炼,保持充足的睡眠,保持乐观的情绪,补充优质蛋白质,提高免疫力。
雨季如何应对霉菌?
一、“看”
霉菌滋生的环境往往比较潮湿,可以多关注墙角、空调附近的墙面、窗台、水池灶台、厨具餐具、冰箱内部、洗手间马桶水池处以及长时间没挪动的地毯等处。
如果是在挑选租房,也要关注房间是否有异味,尽量别住发霉的房子。
二、预防
木炭除湿法
每个房间放置足量的黑木炭,事先加水煮沸10分钟,滤去水分通风阴干,放两天后置于透气篮子中,放在屋子内对角位置即可。如用将竹子炭化制成的竹炭,它比木炭有着更多的洞孔,其吸附作用更强。
提示:木炭阴干后可以重复使用,既除湿也除臭,一举两得。
报纸防霉法
天气潮湿,衣橱里的衣物经常发霉,怎么办?长期打开衣橱的门,可通风防霉,不过灰尘也多。如在衣橱底部铺上报纸,或者在橱门内侧贴上报纸也行。报纸能吸收湿气,达到防霉效果,报纸上的油墨味道也能驱虫。
提示:别让衣物直接摆在报纸上,以免弄脏衣物。
石灰吸潮法
石灰是吸附剂,1公斤生石灰能吸附空气中大约0.3公斤水分。阴雨天可用布料或麻袋裹装生石灰后放置于室内,使室内空气保持干燥。
提示:此举简单易行、便宜。
家里已经有霉菌怎么办?
“家里已经有霉菌,总不能体面退出,把房子送给霉菌住吧......”其实,霉菌清理起来也不难。
在家里除霉时一定要注意防护,清洁时,要戴好口罩、配备橡胶手套等。
可以辅助家用清洁剂来清除霉点。如将洗洁精和自来水1:1混合,喷洒在霉点上,用抹布清洁,最后用自来水洗刷干净,还可以用杀菌剂进行杀菌消毒。
食物方面,已经发霉的水果蔬菜,要全部扔掉。
做完清洁后,记得清洁自己,洗干净手和脸,换衣物。
若是碰到墙面、家具等表面有大面积发霉的现象,该怎么处理?
1.使用杀霉水、84消毒液或漂白水溶液(稀释至5%~10%)擦拭刷漆墙面,将霉菌斑擦拭干净。方法是使用抹布沾上溶液拧干后擦拭或者使用小喷壶雾化后喷洒。
2.留置24小时后,用清水擦拭一遍。擦拭时,须使用干净的抹布蘸上清水拧干后擦拭,如果发霉严重,可多擦拭一道溶液。为了避免再次发霉应当注意使墙面彻底干燥。
3.重刷防霉性涂料,回南天避免刷漆。像回南天这种空气湿度过高的时候,即使墙面霉菌很严重,也要等到天气变暖、空气湿度恢复正常的时候再刷漆。否则很容易因为湿度过高,漆膜干燥过慢,而使得漆膜出现发霉。刷漆施工最好在空气湿度小于85%的时候进行。
如果墙面大面积长霉,最好将霉菌杀灭后,铲除涂层,重新涂刷防霉涂料。
霉菌很小,但它很“毒”,
梅雨季节极易滋生。
所以家中发霉,
又察觉自己不对劲的时候,
别硬挺,一定要去医院接受专业诊断治疗!
更要注意饮食和卫生,避免中招!
(齐鲁晚报·齐鲁壹点客户端编辑 孟猛 综合 央视新闻、南方都市报、国家应急广播、珠海特区报、潇湘晨报、九派新闻、青岛日报、荆楚网、新闻坊、湖南省第三人民医院、网友评论等)
责任编辑:孟猛
热门评论 我要评论 微信扫码
移动端评论
暂无评论