热闻|16岁森碟“下巴后缩严重”引热议,父亲田亮回应“正在矫正中”,什么是下巴后缩?
热闻区 2025-01-03 2.0万
1月3日,“田亮女儿森碟下巴严重后缩问题”登上热搜。

据了解,近日,田亮晒出了女儿Cindy的近照,网友注意到,其下巴出现了明显的后缩现象。该网友晒出一张截图称“建议关心一下森碟”“森碟下巴后缩好严重,看评论说已经错过了最佳矫正时期了,父母怎么不管管”。


有人指出可能已错过最佳矫正时期,未来需要复杂的手术才能改善。

此前Cindy受伤未得到及时治疗引关注,这次下巴后缩的情况也被认为是因为缺乏足够的关注和照顾。
对此,田亮回应网友称:感谢您的关心!最好的矫正正在进行中,需要些时间,这种营销号就随便看看吧。

1月3日中午田亮发博晒出全家福

公开资料显示,森碟(Cindy)原名田雨橙,2008年4月15日出生,2013年8月,田雨橙因与父亲田亮录制湖南卫视真人秀节目《爸爸去哪儿》受到网友关注,被观众亲切称为森碟。之后,森碟也和田亮一样走上了体育之路,在7岁时就开始接触网球运动。
早在之前,叶一茜晒出森碟打网球的视频,网友就纷纷留言称森碟可能出现了下巴后缩,建议叶一茜带其进行治疗。

究竟什么是下巴后缩?该如何应对?
下巴后缩即下颌后缩,是一种常见的颌面部发育问题,它不仅影响颜值,还可能对口腔功能和心理健康产生不良影响。
下颌后缩,顾名思义,就是下巴相对于正常位置向后退了一步。从侧面观察可见明显的凸面形态,给人一种“下巴短小”或“没有下巴”的印象。如果颈部脂肪堆积,还可能形成“双层下巴”的外观。这类情况通常伴随着嘴凸、牙齿前突、“龅牙”、唇闭合不全、“嘴包不住牙”等。

下颌后缩的危害
这类情况通常伴随着嘴凸、牙齿前突、“龅牙”、唇闭合不全,影响美观。对于下颌严重后缩的情况下气道可能会变得狭窄,睡觉时出现打鼾现象,血氧含量不足,影响全身健康,需要引起重视。

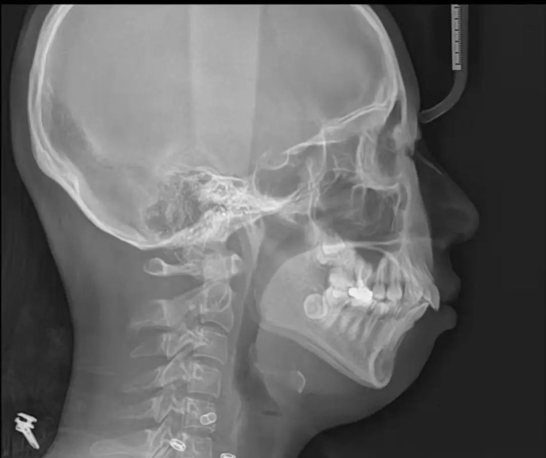
下颌后缩如何诊断
通过拍摄侧位片然后进行头影测量分析,可以更准确地评估下颌与颅骨的关系,确定下颌后缩的程度。

下颌后缩的原因
遗传因素
如果父母有这种小下巴,下巴后缩的情况,孩子也比较容易出现。
后天环境因素
不良习惯或口呼吸等等造成上颌骨狭窄,限制下巴向前发育的趋势,造成下巴后缩。

咬合因素
上前牙过度内倾,或个别牙严重舌侧错位,也可能阻碍下颌骨正常生长发育。
如何治疗
在不同的生长发育阶段,针对下颌后缩的矫治方法各有不同。应结合患者的具体情况和生长发育特点,制定合适的治疗方案。
破除不良习惯
早期发现孩子不良习惯应及时破除,以免引起错合畸形。必要时佩戴矫治器纠正不良习惯。3岁左右即可治疗,早发现早干预。


早期矫治
早期矫治对于下颌后缩至关重要。早期矫治是指在孩子生长发育高峰期进行的,通过矫治器作用力导下颌向前。早期矫治应在4-10岁最佳,通常需要导出下巴后再进行牙齿排齐稳定咬合,效果好。
代偿治疗
通过牙齿的移动来掩饰颌骨的不协调,改善面型。使用固定托槽或隐形矫治器,配合弓丝系统,通过逐步调整弓丝的力量,引导牙齿和颌骨向正确位置移动,无法完全纠正颌骨位置。

手术治疗
对于严重下颌后缩患者,需要正畸正颌手术,来移动下颌骨到更合适的位置。手术通常在成年后进行,此时颌骨已经停止生长,术后效果稳定。
(齐鲁晚报·齐鲁壹点编辑 周小涵 综合都市快报、新闻晨报、九派新闻、扬子晚报、网友评论等)
责任编辑:周小涵
热门评论 我要评论 微信扫码
移动端评论
暂无评论