后怕!男子眼睛不慎被碱灼伤,他的错误举动导致了更严重后果
大众报业·齐鲁壹点 2024-01-18 4178
记者 张如意 通讯员 汪心海 王鹏策
眼睛是人体感知外界信息的主要器官,人们所获得的外界信息有90%是靠眼睛获取。然而,眼睛又是暴露于外界最脆弱的器官,稍有不慎受到伤害后若处理不及时不得当,往往会对眼睛造成不可挽回的严重后果,甚至失明。
近日,在化工厂工作的张先生捂着双眼急匆匆地来到山东第一医科大学附属眼科医院(山东省眼科医院)就诊。原来,他在上班时不慎将工业碱溅入双眼造成碱烧伤,眼睛疼痛难忍,无法睁开,又想到酸碱中和的原理,随即私自使用工厂的硼酸进行冲洗,不曾想这一举动带来的后果更加严重,工友发现后就近送去了附近诊所冲洗眼睛,紧急处理后当地医生建议来省眼科医院进一步治疗。


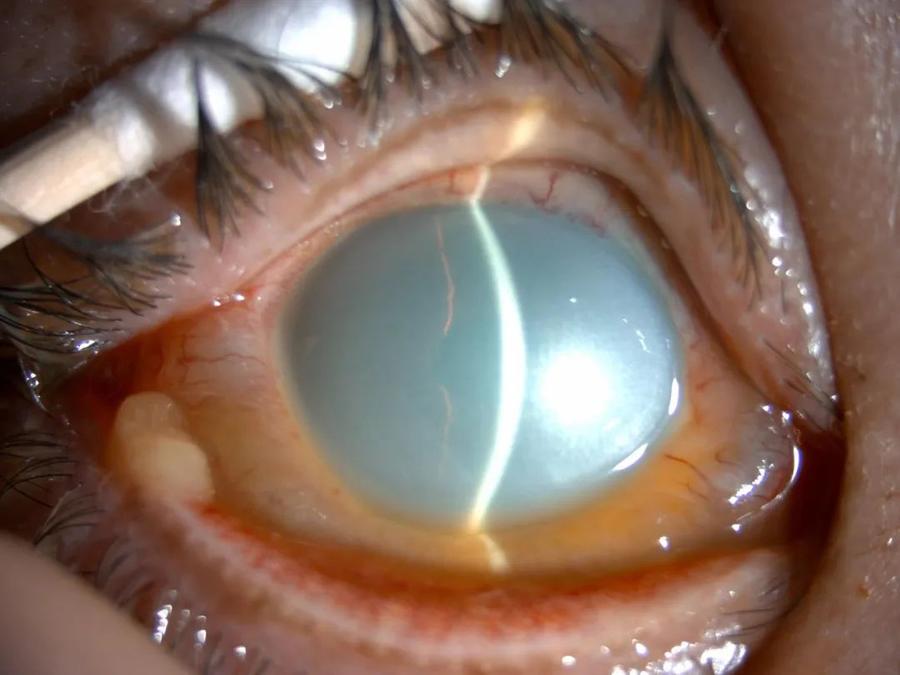
接诊医生为他做了详细检查,发现张先生角膜上皮大面积缺失,角膜白色混浊。经过谨慎分析判断后,决定通过羊膜覆盖手术来促进张先生双眼的恢复。当晚为张先生顺利进行了手术,不过,目前张先生的病情还是比较严峻,因碱烧伤导致的其角膜混浊、眼压高、眼内结构受损以及后续一系列并发症等仍是棘手问题。

山东省眼科医院副院长亓晓琳表示,像张先生的遭遇不是个例,角膜病科门诊接待的病人中有相当一部分是因眼外伤前来就诊的,其中角膜化学性烧伤不在少数。眼化学烧伤是由酸碱物质、消毒剂、清洁剂、染发水、油漆等化学物质引起的眼部损伤,是眼科常见急症,也是主要致盲原因之一。眼化学烧伤多见于青壮年,多发生在化工厂、实验室或施工场所,其中较常见的是酸碱烧伤。伤后若处理不当或稍有延误,轻者可加重患者痛苦,延长治愈时间;重者可导致感染,引起角膜溃疡、穿孔等并发症,甚至导致失明。
亓晓琳提醒,在工作中接触腐蚀性液体时一定做好对眼睛的保护,严重的化学烧伤治疗预后较差,若腐蚀性液体不慎溅入眼中,千万不要揉眼睛,碱烧伤可使用每500ml生理盐水加2g维生素C洗眼,若不明确液体性质应及时就近用大量清水持续冲洗眼部,然后尽快到医院诊治。
责任编辑:张如意
热门评论 我要评论 微信扫码
移动端评论
暂无评论