济南市第四人民医院成功开展市级医院首2例气管镜下热蒸汽消融术
大众报业·齐鲁壹点 2023-11-12 1167
10月29日,济南市第四人民医院呼吸与危重症医学二科门雪琳主任团队,成功完成山东省市级医院首两例经支气管镜热蒸汽消融治疗术(BTVA,简称热蒸汽消融术)治疗重度慢性阻塞性肺疾病。此项新技术的成功开展为晚期慢性气道疾病患者提供了新的呼吸介入治疗方案。为探索难治性慢阻肺的治疗方案提供了新的思路。

病案分析一

患者胸部CT和肺功能检查
患者男,59岁,以“反复咳嗽、咳痰、喘憋13年,加重3天”为主诉住院。患者13年来常于秋冬季节受凉后出现咳嗽、咳少量白色泡沫样痰,伴有活动后憋喘,休息后症状不能完全缓解,每次持续2-3个月。近3-5年来,活动耐力明显下降,多次因病情加重住院治疗,在家先后应用氟替美维及布地格福三联吸入制剂,效果差。3天前患者自觉上述症状较前加重,活动耐力较前下降。呼吸与危重症二科门雪琳主任审阅患者CT,符合不均质肺气肿影像,结合患者急切改善症状的诉求和治疗现状,考虑为其进行肺消融治疗。
患者CT呈明显非均质性肺气肿表现,且双肺上叶更加严重,虽经过充分药物治疗,但临床喘憋症状明显,肺功能评估为GOLDⅣ级(极重度),6分钟步行试验为510m。为改善生活质量,患者治疗意愿积极,经与患者及家属充分病情交待及知情同意后,拟行热蒸汽消融治疗。
病案分析二

患者胸部CT和肺功能检查
患者男,64岁,以“反复咳嗽、咳痰、喘憋10余年,加重半月”为主诉住院。患者10年前无明显诱因出现咳嗽、咳痰,伴憋喘,对症治疗好转后停药。此后病情反复,常于秋冬季受凉后出现,每次持续2-3个月。曾在家先后应用氟替美维及布地格福三联吸入制剂,效果不佳。4个月前再次因上述症状加重,给予了第一次“热蒸汽消融术”治疗。术后患者明显感觉症状较之前减轻,经过术后恢复,为进一步治疗,考虑进行第二次“热蒸汽消融术”治疗。
经过充分的术前检查与讨论,该患者满足进行第二次“热蒸汽消融术”的适应症。
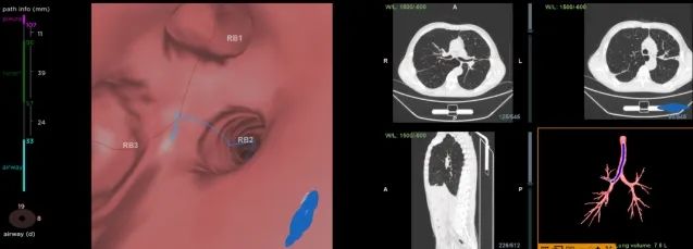
术中操作

术前热蒸汽消融路径评估
术前,门雪琳主任带领团队结合患者疾病情况进行充分的术前讨论,为两位患者制定详细的治疗方案。术中,在全麻下对患者的靶肺段进行热蒸汽消融,手术过程顺利,20分钟左右便完成靶肺段的治疗。患者术后无明显不适,感觉良好。

术中蒸汽消融治疗

治疗后镜下靶肺段
慢阻肺是一种常见的慢性呼吸疾病,位居我国死亡原因第三位。2021年,全球约有2.26亿慢阻肺患者,中国慢阻肺患者则高达1.06亿,而晚期慢阻肺5年生存率不到20%。对于重度和极重度患者,药物治疗效果非常有限。支气管镜热蒸汽消融术(BTVA)是国内和国际上先进的支气管镜介入技术 。经支气管镜热蒸汽消融术适用于治疗重度、极重度且经充分药物治疗效果不佳的慢阻肺患者,可经支气管路径对严重病变肺段进行靶向分次治疗,显著改善患者生活质量及肺功能,提升患者运动耐量。与其它治疗方式相比,具有微创、治疗精准彻底且术后并发症少等特点,同时保留更多的健康肺组织,具有明显优势,为晚期慢阻肺患者提供了一种安全、有效、微创的颠覆性解决方案。

济南市第四人民医院呼吸与危重症医学二科是一支学识渊博、临床经验丰富的医学教研队伍,为济南市临床重点专科。配有无创、有创多导监护仪及齐备的各种危重症抢救设备,具备一套快捷、系统、熟练、正规的抢救支持技术及呼吸道管理方法。环境温馨,设施良好,管理规范。全科共有医护人员21名,其中博士研究生1人,曾赴英国伦敦大学圣乔治医院做访问学者,硕士研究生5人。
科室主要从事①慢性阻塞性肺疾病的规范化诊断治疗和康复营养治疗;②哮喘的规范化联合治疗;③呼吸道感染、支气管扩张规范化诊断及治疗;④肺间质性纤维化诊断及治疗;⑤规范化肺癌的诊断、联合治疗方案制定及化疗;⑥纤维支气管镜检查及气道介入治疗;⑦呼吸衰竭的非创伤性机械通气治疗;⑧肺栓塞的诊断和抗凝、溶栓治疗;⑨胸腔积液规范化诊断及治疗;⑩各种肺功能检查、呼吸睡眠监测,呼吸慢病管理。独立并参与完成多项省市级课题研究,撰写多篇论文,均发表在国内外核心期刊及专业期刊上。
呼吸与危重症二科全体医护人员发扬“救死扶伤”人道主义精神,团结进取、甘于奉献,竭尽全力为患者提供优质的医疗服务。
通讯员 陈丽艳 王燕
责任编辑:王小蒙
热门评论 我要评论 微信扫码
移动端评论
暂无评论