【日照口腔医院爱牙课】门牙去哪儿了?埋伏牙牵引矫正了解下!
大众报业·齐鲁壹点 2020-09-17 3904
埋伏牙,简单来说呢,埋伏牙就是那种因各种原因不能正常萌出,而被包裹在牙龈中的牙齿,只能够通过拍摄X线片才能看到,这样的牙齿就叫做埋伏牙。

『 主诊医生 』
日照口腔医院博士工作室 医师
王兰珠

『 基本情况及病例资料 』
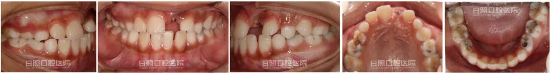
患者女,8岁,患者替牙期,家长发现左上乳切牙脱落以后,恒牙迟迟没有萌出,今来我院,要求治疗。
『 临床检查 』
替牙列,21倒置埋伏阻生,多颗乳牙龋齿。
埋伏牙是临床上一种常见的错颌畸形,主要是萌出的方向、位置不正确或者没有足够的萌出间隙而导致牙齿没有办法正常萌出。例如:倒置埋伏阻生,就是与我们正常萌出方向相反的埋伏牙。

治疗前曲面断层片 黄圈处为倒置埋伏阻生牙

治疗前口内照
『 治疗计划 』
1、手术开窗显露21,唇面切端处粘结牵引扣;
2、配合正畸牵引装置轻力牵引;
3、牙齿萌出之后用固定矫治器进一步排齐牙齿。
这里有几个专业名词需要和大家简单科普一下,手术开窗是指用手术的手段打开牙龈,找到埋伏牙的位置;正畸牵引是将专业的正畸用具粘接到牙齿上产生牵引力,引导牙齿的萌出方向。

手术开窗+正畸牵引
手术开窗和正畸牵引的工作做完以后,就是等待牙齿逐渐萌出,接下来的几张图片就是2.5个月、5个月、7个月、10个月直到矫治后的图片,大家一起来见证一下”奇迹“吧!





矫治过程结束了,再拍一张全景牙片看一下吧,倒置埋伏阻生牙“迷途知返”,乖乖地呆在了正确的位置。

埋伏阻生牙有什么危害
埋伏阻生牙是临床上导致错牙合畸形的常见原因之一,严重破坏牙列的完整性和对称性,影响牙槽骨和颌骨发育,造成咬合关系的紊乱。位于上前牙区的埋伏牙给颜面美观、语言发音以及患者的心理带来不良影响。此外,埋伏阻生牙可能形成含牙囊肿,造成邻牙的牙根吸收;埋伏牙的存在也会为后续的正畸治疗增加难度。
01
听说,牙齿矫正还要拔牙?
要知道,拔牙是提供牙间隙的常用手段但非唯一手段。除了拔牙,临床上还有前后向或左右向扩展牙弓、片切(适度把牙磨窄)等很多手段,来有效解决牙列拥挤、牙齿前突的问题,为牙齿创造空间。不过具体的手段要根据个人的牙齿情况来进行选择。
听说,戴牙套会腐蚀牙面?
牙面上粘结的矫治器,是采用口腔专用的釉质粘接剂,在清洁处理过的牙面上固定两年左右,这是牙科里沿用40多年可以说是非常成熟的粘接技术,就算矫正结束后也不会对牙齿表面产生影响。所谓的腐蚀牙面多半是由于没有保持良好的口腔卫生导致的。
听说,矫正过程中牙齿会很痛?
通常推动牙齿的正畸力是十分轻微的,据了解,初次佩戴矫治器以及每次复诊后,感觉牙齿有点“紧”的人并不在少数,成人大约会有一星期左右的隐痛,这是正常的,无需特殊处理亦无需服药。
要知道,不同的矫治器所带来的佩戴舒适感也略有不同,随着牙齿移动排齐,钢丝及托槽可能会对黏膜产生相应的刺激,只要联系医生及时进行处理即可。近几年热门的无托槽隐形矫正器不使用钢丝及金属,靠透明的弹性材料内部产生力量,从而达到矫正的效果,几乎不会感觉到疼痛。
那么,矫治器应该怎么选呢?
相信很多成年人对“铁嘴钢牙”的恐惧而迟迟不敢正畸。
随着技术的不断进步,在日照口腔医院已经有透明托槽、无托槽隐形矫治器这几种更加“美观”的选择了。
透明陶瓷托槽用一根细细的金属丝连接,不易察觉,通常也被称之为半隐形矫治器。
无托槽隐形矫正器是近年来备受追捧的热点。主要针对牙齿拥挤、有间隙、个别牙错位等情况的矫正。可以自由摘带,矫正的同时不影响美观。
日照口腔医院在这里建议大家,要做到提前了解关于保护口腔卫生以及牙齿矫正的知识、提前预约、提前做好准备。保持良好的口腔卫生健康,拥有一副整齐美白的牙齿,拥抱更加靓丽的美丽人生。
李岩涛院长

李岩涛,执行院长、口腔医学博士、主任医师。领导组建了日照市首个口腔博士工作室。主要从事口腔疾病的治疗、预防及科研方面的工作,尤其擅长儿童、青少年、成人牙列不齐的矫正治疗,将种植体支抗、自锁托槽矫治、隐形矫治技术等国内外先进技术引入临床,取得满意治疗效果。
承担并完成市级科研课题5项、获市级科研成果二等奖2项、三等奖2项,发表中英文论文20余篇、参编专业著作2部。
兼任山东省口腔医师协会委员、山东省口腔医学会正畸专业委员会常务委员,山东省口腔医学会口腔美学专业委员会常务委员,胶东口腔医学会副会长。
2009年被评为“日照市十大杰出青年”,2017年荣获“日照市有突出贡献的中青年专家”等称号。

责任编辑:张永斌
热门评论 我要评论 微信扫码
移动端评论
暂无评论