【日照口腔医院爱牙课】成年人地包天,看看她的矫正效果!
大众报业·齐鲁壹点 2020-09-17 3579
地包天,是指下巴突出、面部很长、面中部略显凹陷,下牙咬在上牙的前面的现象。而现代对于面部审美为:面中部略凸出,面容饱满,侧面曲线流畅、优美,上下牙齿咬合时,上前牙咬在下前牙的外面才是美的形态。

『 主诊医生 』
日照口腔医院博士工作室 主治医师
申勇

『 基本情况及病例资料 』
患者女,28岁,主诉牙齿地包天。今来我院,要求矫治。
『 临床检查 』
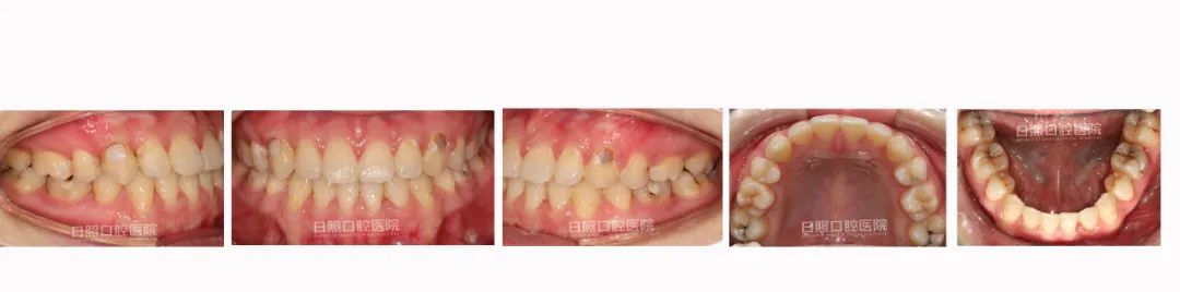
双侧磨牙近中关系,上下前牙地包天,可退至前牙对刃,23、25龋坏,14残根,上下中线不齐。两侧面部不对称,脸型为凹面型。

治疗前面相

治疗前口内照
『 治疗计划 』
1、拔除14、25、34、44;
2、使用陶瓷托槽矫治器;

治疗中口内照

治疗中面相

治疗后口内照

治疗后面相

治疗前、中、后面相对比
地包天有什么危害?
医生指出,地包天不仅会造成牙颌关系的异常、颌骨发育与颅面关系的异常,影响面部软组织,影响口颌功能等。
1、影响口腔功能的使用:地包天患者常常因为上下前牙的无咬合功能而使咀嚼功能降低,这加重了肠胃负担,容易引起消化系统疾病;严重的地包天还会影响到吐字发音,因为前牙位置的异常与舌体活动的受限,会使得”擦音“与”塞擦音“的发音异常。
2、影响颌面美观:骨性地包天患者因为下颌前突上颌后缩问题会存在面中部凹陷情况,形成“新月脸”,这会严重影响美观。
3、影响身心健康:不少地包天患者反映,因为地包天问题往往会受到同学伙伴的嘲笑与讥讽,这对他们的心理造成阴影,让他们常常活在自卑、缺乏信心的状态中,养成了不善言辞的个性,也不利于个人发展
地包天如何矫正?
矫正地包天有很多种方法,一般来说佩戴矫治器矫治是针对牙性地包天等比较轻微的患者来说的,但是严重骨性地包天需要配合外科手术矫正。解决成人严重的牙槽骨畸形问题,通过全麻,恢复咬合关系,使颌骨弧度与面部比例协调,以达到医治牙颌面畸形、改变面型,实现面部美容的目的。
01
听说,牙齿矫正还要拔牙?
要知道,拔牙是提供牙间隙的常用手段但非唯一手段。除了拔牙,临床上还有前后向或左右向扩展牙弓、片切(适度把牙磨窄)等很多手段,来有效解决牙列拥挤、牙齿前突的问题,为牙齿创造空间。不过具体的手段要根据个人的牙齿情况来进行选择。
听说,戴牙套会腐蚀牙面?
牙面上粘结的矫治器,是采用口腔专用的釉质粘接剂,在清洁处理过的牙面上固定两年左右,这是牙科里沿用40多年可以说是非常成熟的粘接技术,就算矫正结束后也不会对牙齿表面产生影响。所谓的腐蚀牙面多半是由于没有保持良好的口腔卫生导致的。
听说,矫正过程中牙齿会很痛?
通常推动牙齿的正畸力是十分轻微的,据了解,初次佩戴矫治器以及每次复诊后,感觉牙齿有点“紧”的人并不在少数,成人大约会有一星期左右的隐痛,这是正常的,无需特殊处理亦无需服药。
要知道,不同的矫治器所带来的佩戴舒适感也略有不同,随着牙齿移动排齐,钢丝及托槽可能会对黏膜产生相应的刺激,只要联系医生及时进行处理即可。近几年热门的无托槽隐形矫正器不使用钢丝及金属,靠透明的弹性材料内部产生力量,从而达到矫正的效果,几乎不会感觉到疼痛。
那么,矫治器应该怎么选呢?
相信很多成年人对“铁嘴钢牙”的恐惧而迟迟不敢正畸。
随着技术的不断进步,在日照口腔医院已经有透明托槽、无托槽隐形矫治器这几种更加“美观”的选择了。
透明陶瓷托槽用一根细细的金属丝连接,不易察觉,通常也被称之为半隐形矫治器。
无托槽隐形矫正器是近年来备受追捧的热点。主要针对牙齿拥挤、有间隙、个别牙错位等情况的矫正。可以自由摘带,矫正的同时不影响美观。
日照口腔医院在这里建议大家,要做到提前了解关于保护口腔卫生以及牙齿矫正的知识、提前预约、提前做好准备。保持良好的口腔卫生健康,拥有一副整齐美白的牙齿。
李岩涛院长

李岩涛,执行院长、口腔医学博士、主任医师。领导组建了日照市首个口腔博士工作室。主要从事口腔疾病的治疗、预防及科研方面的工作,尤其擅长儿童、青少年、成人牙列不齐的矫正治疗,将种植体支抗、自锁托槽矫治、隐形矫治技术等国内外先进技术引入临床,取得满意治疗效果。
承担并完成市级科研课题5项、获市级科研成果二等奖2项、三等奖2项,发表中英文论文20余篇、参编专业著作2部。
兼任山东省口腔医师协会委员、山东省口腔医学会正畸专业委员会常务委员,山东省口腔医学会口腔美学专业委员会常务委员,胶东口腔医学会副会长。
2009年被评为“日照市十大杰出青年”,2017年荣获“日照市有突出贡献的中青年专家”等称号。

责任编辑:张永斌
热门评论 我要评论 微信扫码
移动端评论
暂无评论