【日照口腔医院爱牙课】牙齿前突,是这样矫正过来的!
大众报业·齐鲁壹点 2020-09-17 3118
牙齿前突,就是大家生活中所谓的龅牙。是由于牙齿、颅面之间关系不调而引起的多种畸形,包括:个别牙错位;牙弓形态和牙齿排列异常;上下牙弓之间咬合关系异常。牙齿前突对自身的美感会大打折扣。
『 主诊医生 』
日照口腔医院执行院长 口腔医学博士 主任医师
李岩涛

『 基本情况及病例资料 』
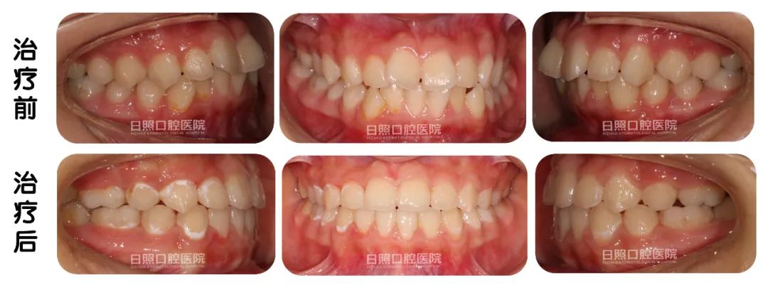
患者女,12岁,主诉牙齿不齐,前突。该患者恒牙期,牙齿排列不整齐,上下颌前牙前突,未曾做过治疗,今来我院,要求矫治。
『 临床检查 』
面下1/3偏长;面部左右不对称,颌部左偏;上下唇前突,唇闭合困难;颊廊较宽,笑线不规则,无露龈笑。

治疗前面相

治疗前口内照
『 诊断 』
安氏Ⅰ类;骨性Ⅰ类;牙列不齐;双颌前突(高角);龋齿。
『 治疗计划 』
1、拔除14、24、34、44;
2、使用国产自锁托槽矫治器;
3、排齐牙齿,调整上下颌中线,内收上下颌前牙,关闭拔牙间隙,上颌植入两颗种植钉增强后牙区支抗,同时也可以控制后牙区垂直向高度;
4、精细调整,常规保持。

治疗中口内照

治疗后面相

治疗后口内照
经过医学研究表明,大多数牙颌畸形可以在恒牙初期进行矫治,男孩一般在12~15岁,女孩一般在11~13岁,这个年龄阶段,孩子代谢功能好,恒牙列基本建立,颅颌面还有部分潜力,牙齿的移动效果最为显著,这个时期是正畸矫治的“黄金时机”。


治疗前、治疗中、治疗后面相对比
总 结
在治疗双颌前突的目的即为通过移动牙齿,对前牙及牙槽骨的位置与形态进行一定程度的改善,从而改善牙齿突度及唇齿关系,基本协调鼻、唇、颏等结构,以达到美观的要求。
本病例的难点就是患者高角、垂直生长型,对垂直向的控制要求较高;另外,牙齿内收的程度与支抗的选择也有关系。微螺钉种植体支抗具有较高的舒适度、灵活的植入部位、能够即刻加力,它还能够为矢状向及垂直向控制牙齿,这也是本病例成功的关键所在。
01
听说,牙齿矫正还要拔牙?
要知道,拔牙是提供牙间隙的常用手段但非唯一手段。除了拔牙,临床上还有前后向或左右向扩展牙弓、片切(适度把牙磨窄)等很多手段,来有效解决牙列拥挤、牙齿前突的问题,为牙齿创造空间。不过具体的手段要根据个人的牙齿情况来进行选择。
听说,戴牙套会腐蚀牙面?
牙面上粘结的矫治器,是采用口腔专用的釉质粘接剂,在清洁处理过的牙面上固定两年左右,这是牙科里沿用40多年可以说是非常成熟的粘接技术,就算矫正结束后也不会对牙齿表面产生影响。所谓的腐蚀牙面多半是由于没有保持良好的口腔卫生导致的。
听说,矫正过程中牙齿会很痛?
通常推动牙齿的正畸力是十分轻微的,据了解,初次佩戴矫治器以及每次复诊后,感觉牙齿有点“紧”的人并不在少数,成人大约会有一星期左右的隐痛,这是正常的,无需特殊处理亦无需服药。
要知道,不同的矫治器所带来的佩戴舒适感也略有不同,随着牙齿移动排齐,钢丝及托槽可能会对黏膜产生相应的刺激,只要联系医生及时进行处理即可。近几年热门的无托槽隐形矫正器不使用钢丝及金属,靠透明的弹性材料内部产生力量,从而达到矫正的效果,几乎不会感觉到疼痛。
那么,矫治器应该怎么选呢?
相信很多成年人对“铁嘴钢牙”的恐惧而迟迟不敢正畸。
随着技术的不断进步,在日照口腔医院已经有透明托槽、无托槽隐形矫治器这几种更加“美观”的选择了。
透明陶瓷托槽用一根细细的金属丝连接,不易察觉,通常也被称之为半隐形矫治器。
无托槽隐形矫正器是近年来备受追捧的热点。主要针对牙齿拥挤、有间隙、个别牙错位等情况的矫正。可以自由摘带,矫正的同时不影响美观。
日照口腔医院在这里建议大家,要做到提前了解关于保护口腔卫生以及牙齿矫正的知识、提前预约、提前做好准备。保持良好的口腔卫生健康,拥有一副整齐美白的牙齿。
李岩涛院长

李岩涛,执行院长、口腔医学博士、主任医师。领导组建了日照市首个口腔博士工作室。主要从事口腔疾病的治疗、预防及科研方面的工作,尤其擅长儿童、青少年、成人牙列不齐的矫正治疗,将种植体支抗、自锁托槽矫治、隐形矫治技术等国内外先进技术引入临床,取得满意治疗效果。
承担并完成市级科研课题5项、获市级科研成果二等奖2项、三等奖2项,发表中英文论文20余篇、参编专业著作2部。
兼任山东省口腔医师协会委员、山东省口腔医学会正畸专业委员会常务委员,山东省口腔医学会口腔美学专业委员会常务委员,胶东口腔医学会副会长。
2009年被评为“日照市十大杰出青年”,2017年荣获“日照市有突出贡献的中青年专家”等称号。

责任编辑:张永斌
热门评论 我要评论 微信扫码
移动端评论
暂无评论